Данный сайт не поддерживает протокол https. Откройте сайт по протоколу http://site.medkirov.ru/
< < <19102022-30photo_2025-08-23_12-17-55До_ОперацияПосле
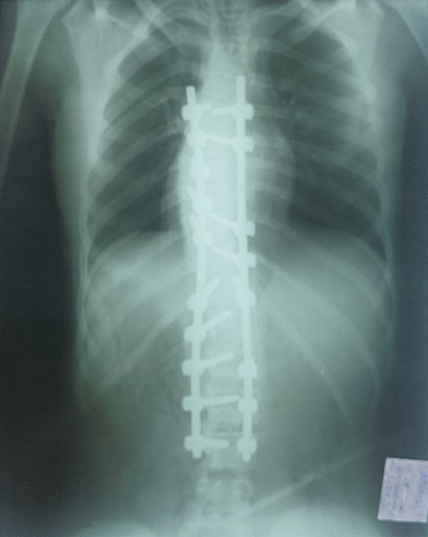
После.